イメージ画像

市川市本八幡の大人の叢生・八重歯|むらおか歯科・矯正歯科

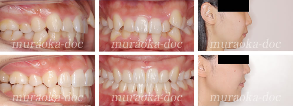
大人の叢生・上下顎前突・出っ歯の矯正治療例(期間1年8ヵ月)
2024.12.09

大人の叢生・上下顎前突・出っ歯の矯正治療例(期間1年8ヵ月)

大人の叢生(凸凹)の矯正治療例(期間1年7ヵ月)
2024.12.09

大人の叢生(凸凹)の矯正治療例(期間1年7ヵ月)

大人の叢生・八重歯の矯正治療例(期間1年2ヵ月)
2024.12.09

大人の叢生・八重歯の矯正治療例(期間1年2ヵ月)

大人の八重歯・出っ歯の矯正治療例(期間1年6ヵ月)
2024.12.06

大人の八重歯・出っ歯の矯正治療例(期間1年6ヵ月)

1 2 3 4
医療法人社団 ひじり会 むらおか歯科矯正歯科クリニック
診察時間
9:30〜13:00 月1回 休診
15:00〜19:00
(最終受付18:30)

△ 土曜日の午後は14:00~18:00 (最終受付 17:30) となります
休診日・祝日

当院は完全予約制です。急患の方はまずお電話ください。
ご連絡いただければ診察可能なお時間をすぐにお伝え致します。

  • 本八幡駅 / 京成八幡駅 / 市川駅 からバスで5分
    (昭和学院前停留所)
    ※最寄り駅より無料送迎を行っております。
    (※矯正治療の患者様限定)
  • 〒272-0822
    千葉県市川市宮久保1-23-23