イメージ画像

市川市本八幡の子どもの受け口|むらおか歯科・矯正歯科

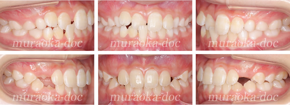
子どもの開咬・受け口・叢生の矯正治療例(期間1年6ヵ月)
2024.12.06

子どもの開咬・受け口・叢生の矯正治療例(期間1年6ヵ月)

子どもの受け口・叢生の矯正治療例(期間1年3ヵ月)
2024.12.06

子どもの受け口・叢生の矯正治療例(期間1年3ヵ月)

子どもの受け口・叢生の矯正治療例(期間1年6ヵ月)
2024.12.06

子どもの受け口・叢生の矯正治療例(期間1年6ヵ月)

子どもの受け口の矯正治療例(期間1年5ヵ月)
2024.12.06

子どもの受け口の矯正治療例(期間1年5ヵ月)

子どもの受け口の矯正治療例(期間1年4ヵ月)
2024.12.06

子どもの受け口の矯正治療例(期間1年4ヵ月)

子どもの叢生・受け口の矯正治療例(期間1年3ヵ月)
2024.12.06

子どもの叢生・受け口の矯正治療例(期間1年3ヵ月)

子どもの受け口の矯正治療例(期間10ヵ月)
2024.12.06

子どもの受け口の矯正治療例(期間10ヵ月)

子どもの受け口の矯正治療例(期間1年3ヵ月)
2024.12.06

子どもの受け口の矯正治療例(期間1年3ヵ月)

子どもの受け口・すきっ歯の矯正治療例(期間10ヵ月)
2024.12.06

子どもの受け口・すきっ歯の矯正治療例(期間10ヵ月)

医療法人社団 ひじり会 むらおか歯科矯正歯科クリニック
診察時間
9:30〜13:00 月1回 休診
15:00〜19:00
(最終受付18:30)

△ 土曜日の午後は14:00~18:00 (最終受付 17:30) となります
休診日・祝日

当院は完全予約制です。急患の方はまずお電話ください。
ご連絡いただければ診察可能なお時間をすぐにお伝え致します。

  • 本八幡駅 / 京成八幡駅 / 市川駅 からバスで5分
    (昭和学院前停留所)
    ※最寄り駅より無料送迎を行っております。
    (※矯正治療の患者様限定)
  • 〒272-0822
    千葉県市川市宮久保1-23-23